Ιωάννης Αντωνιάδης

Νευροχειρουργός

 

 

LumbarHernia4 

 

Η οσφυϊκή μικροχειρουργική δισκεκτομή είναι η επέμβαση που πραγματοποιείται σε ασθενείς με κήλη οσφυϊκού μεσοσπονδυλίου δίσκου η οποία προκαλεί έντονη και επίμονη οσφυοϊσχιαλγία ή/και νευρολογικό έλλειμμα στα κάτω άκρα (μούδιασμα ή αδυναμία). Η αφαίρεση της δισκοκήλης έχει ως σκοπό να αποσυμπιεστεί το νεύρο το οποίο πιέζεται και πραγματοποιείται όταν έχει αποτύχει η συντηρητική θεραπεία. Είναι μια επέμβαση με πολύ υψηλά ποσοστά επιτυχίας και ελάχιστες επιπλοκές.

 

Ενδείξεις

Οι ασθενείς που είναι κατάλληλοι για επέμβαση είναι αυτοί οι οποίοι πάσχουν από έντονη και επίμονο οσφυοϊσχιαλγία από μια κήλη οσφυϊκού μεσοσπονδυλίου δίσκου και στους οποίους η συντηρητική αγωγή (αναμονή, κλινοστατισμός, φαρμακευτική αγωγή) δεν έχει επιφέρει βελτίωση των συμπτωμάτων τους. Στους ασθενείς με, επιπλέον, νευρολογικά ελλείμματα στα κάτω άκρα όπως μούδιασμα ή αδυναμία, η χειρουργική αξιολόγηση πρέπει να γίνεται άμεσα.

Περιγραφή

Η επέμβαση γίνεται με τον ασθενή σε πρηνή θέση και υπό γενική αναισθησία. Η τομή δέρματος γίνεται, στο μέσο και κατά μήκος της ράχης, μετά από εντοπιστική ακτινοσκόπηση, και έχει μήκος λίγων εκατοστών. Για την προσπέλαση της δισκοκήλης απαιτείται συνήθως και μικρή εκτομή του οπίσθιου μέρους του σπονδύλου (θυρίδα). Το πιεζόμενο οσφυϊκό νεύρο εντοπίζεται και γίνεται αφαίρεση του τεμαχίου του μεσοσπονδυλίου δίσκου που προεξέχει, ερεθίζοντας την νευρική ρίζα. Ο υπόλοιπος μεσοσπονδύλιος δίσκος διανοίγεται και αφαιρείται μέσω μικρής οπής όταν εκτιμάται διεγχειρητικά ότι υπάρχουν μεγάλες πιθανότητες υποτροπής της δισκοκήλης ή όταν δεν γίνεται να επιτευχθεί καλή αποσυμπίεση του οσφυϊκού νεύρου μέσω μόνο της αφαίρεσης του προεξέχοντος τεμαχίου του. 

Αντενδείξεις και επιπλοκές

Η οσφυϊκή μικροχειρουργική δισκεκτομή δεν έχει ουσιαστικές αντενδείξεις και οι επιπλοκές της είναι σπάνιες και συχνά παροδικές. Ο κλινικά σημαντικός τραυματισμός της μήνιγγας και του νεύρου που είναι και η σημαντικότερη επιπλοκή περιγράφεται σε εξαιρετικά μικρά ποσοστά.

Έκβαση

Η επέμβαση έχει εξαιρετικά υψηλά ποσοστά επιτυχίας και οι υποτροπές δεν είναι συχνές (κάτω του 5%). Η νοσηλεία είναι σύντομη (1-2 ημέρες) και το ίδιο ισχύει για την ανάρρωση η οποία είναι κατά κανόνα βραχεία (έγερση και αυτοεξυπηρέτηση άμεσα, επιστροφή σε μη χειρωνακτική εργασία σε περίπου 10-15 ημέρες).

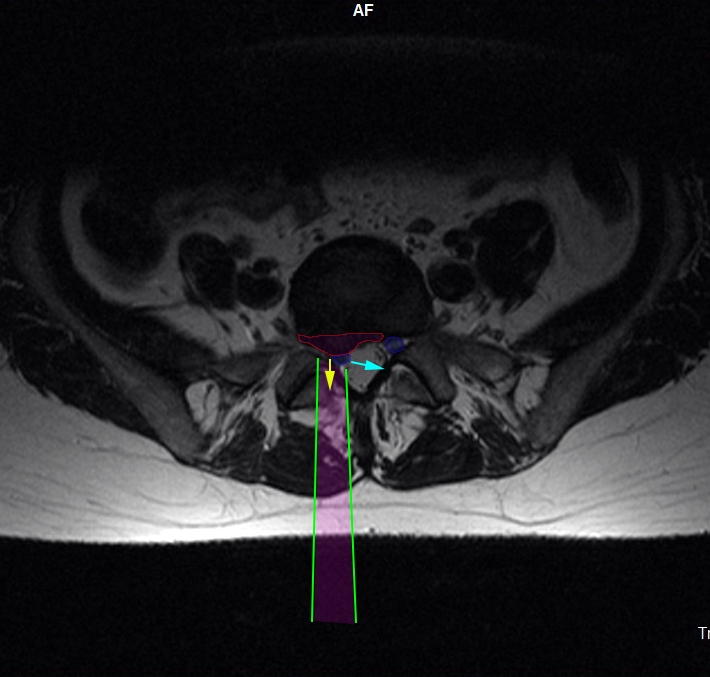
LumbarDiscectomy

Η προσπέλαση (πράσινες γραμμές) της οσφυϊκής μικροχειρουργικής δισκεκτομής γίνεται με μικρή αποκόλληση των μυών της σπονδυλικής στήλης, διάνοιξη θυρίδας (οπής) στους συνδέσμους που καλύπτουν το νεύρο και σε ελάχιστο τμήμα του οσφυϊκού πετάλου. Το οσφυϊκό νεύρο (μπλέ) παρεκτοπίζεται και η κήλη (φούξια) αφαιρείται (κίτρινο βέλος). Όταν χρειάζεται, και από την ίδια προσπέλαση αφαιρείται και το περιεχόμενο του δίσκου, προκειμένου να επιτευχθεί πληρέστερη αποσυμπίεση του νεύρου.