Ιωάννης Αντωνιάδης

Νευροχειρουργός

 

 

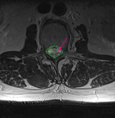
LumbarStenosis3

Η στένωση του οσφυϊκού σπονδυλικού σωλήνα είναι μια από τις πιο συχνές παθήσεις της οσφυϊκής μοίρας της σπονδυλικής στήλης. Ορίζεται ως η μείωση του εμβαδού του σπονδυλικού σωλήνα, οποιασδήποτε αιτιολογίας, με αποτέλεσμα την πίεση στα νεύρα που νευρώνουν τα κάτω άκρα προκαλώντας άλγος σε αυτά και εύκολη κόπωση στη βάδιση με συχνές στάσεις για ξεκούραση, μια κατάσταση που ονομάζεται νευρογενής διαλείπουσα χωλότητα. Η θεραπεία εξαρτάται από τον βαθμό και την ένταση των συμπτωμάτων και είναι συχνά χειρουργική.

 

 

Επίπτωση και αιτίες

Περίπου 10% του πληθυσμού πάσχει από διαφόρους βαθμούς στένωσης του οσφυϊκού σπονδυλικού σωλήνα με το μεγαλύτερο μέρος του ποσοστού αυτού να βρίσκεται στις ηλικίες άνω των 50. Οι αιτίες συμπεριλαμβάνουν την κήλη του οσφυϊκού μεσοσπονδυλίου δίσκου σε συνδυασμό συνήθως με εκφυλιστική αιτιολογίας υπερτροφία των μικρών αρθρώσεων της σπονδυλικής στήλης και του ωχρού συνδέσμου η οποία είναι και η συχνότερη αιτία. Άλλες αιτίες είναι η οσφυϊκή σπονδυλολίσθηση, οι όγκοι και τα κατάγματα της οσφυϊκής μοίρας της σπονδυλικής στήλης. Σε αυτή την ενότητα θα περιγραφεί κυρίως η εκφυλιστικής αιτιολογίας στένωση του οσφυϊκού σπονδυλικού σωλήνα η οποία είναι και η πιο κοινή.

SpinalStenosisNormal SpinalStenosis

Φυσιολογικός ευρύς σπονδυλικός σωλήνας αριστερά (πράσινο) με άφθονο χώρο γύρω από τα νεύρα (βέλος). Στενός σπονδυλικός σωλήνας δεξιά με συμπίεση των νεύρων.

Συμπτώματα

Τα πιο συνηθισμένα συμπτώματα της στένωσης του οσφυϊκού σπονδυλικού σωλήνα είναι ο πόνος στη μέση και τα πόδια και η νευρογενής διαλείπουσα χωλότητα με τη χαρακτηριστική διακοπή της βάδισης για ξεκούραση μετά από βραχύ διάστημα βάδισης. Όχι σπάνια συνυπάρχουν οσφυαλγία, κράμπες, ισχιαλγία και υπαισθησία (μούδιασμα) στα κάτω άκρα και επιπλέον αστάθεια στη βάδιση με συχνές πτώσεις. Ορισμένα παρόμοια συμπτώματα μπορεί να προκαλέσει και η αγγειογενής διαλείπουσα χωλότητα, αιτία της οποίας είναι στενώσεις των αρτηριών των κάτω άκρων, και η οποία πρέπει πάντα να αποκλείεται. 

Διάγνωση

Απαραίτητες είναι:

Η λεπτομερής λήψη ιστορικού και η κλινική εξέταση,

Η μαγνητική τομογραφία της οσφυϊκής μοίρας της σπονδυλικής στήλης,

Σε ορισμένες περιπτώσεις:

Οι ακτινογραφίες της οσφυϊκής μοίρας της σπονδυλικής στήλης, και ενίοτε οι δυναμικές λήψεις σε κάμψη και έκταση,

Ο νευροφυσιολογικός έλεγχος με ηλεκτρομυογράφημα και ταχύτητα αγωγής νεύρων κάτω άκρων,

Η αξονική τομογραφία της οσφυϊκής μοίρας της σπονδυλικής στήλης με τρισδιάστατη ανασύνθεση,

Υπέρηχος αρτηριών κάτω άκρων για να αποκλειστεί αγγειογενής διαλείπουσα χωλότητα.

Πρόγνωση

Οι ασθενείς με συμπτωματική στένωση του οσφυϊκού σπονδυλικού σωλήνα τείνουν να επιδεινώνονται στο χρόνο. Η νευρογενής διαλείπουσα χωλότητα, η αδυναμία τους να βαδίσουν χωρίς να διακόπτουν τη βάδιση τους λόγω άλγους και αδυναμίας στα κάτω άκρα, τείνει να εμφανίζεται σε μικρότερες ευθείες βάδισης. 

Η εξέλιξη της νόσου, όταν είναι εκφυλιστικής αιτιολογίας είναι αργή (μήνες- έτη). Σε μακρύτερο ορίζοντα εγκαθίσταται μόνιμη αδυναμία στα κάτω άκρα και ορθοκυστικές διαταραχές.  
SpinalStenosis2 ForamenStenosis 

Αριστερά: Στένωση οσφυϊκού σπονδυλικού σωλήνα. Δεξιά:Φυσιολογικό νευρικό τρήμα στην κορυφή (πράσινο) με ελεύθερο νεύρο στο κέντρο (μπλέ περίγραμμα). Στενό τρήμα (κυανό βέλος) και ουσιαστικά κλειστό τρήμα,το οποίο εμπεριέχει μόνο το πιεσμένο νεύρο (πράσινο βέλος). Τεμάχιο δισκοκήλης εντός του τρήματος (κόκκινο περίγραμμα).

 

Θεραπεία

Ασυμπτωματικές στενώσεις εκφυλιστκής αιτιολογίας αξιολογούνται μόνο σε επίπεδο παρακολούθησης για τυχόν ανάπτυξη συμπτωμάτων και πρόληψης περαιτέρω επιδείνωσης.

Σ την συντριπτική πλειοψηφία των περιπτώσεων με νευρολογικά συμπτώματα η θεραπεία είναι χειρουργική και περιλαμβάνει εντοπισμένη αποσυμπίεση του σπονδυλικού σωλήνα και των νεύρων που πιέζονται. Εδώ πρέπει να σημειωθεί ότι η στένωση του οσφυϊκού σπονδυλικού σωλήνα δεν αρκεί να είναι μόνο απεικονιστική αλλά πρέπει να παράγει και συμβατά συμπτώματα για να αποτελέσει αντικείμενο χειρουργικής αξιολόγησης. Οι χειρουργικές επεμβάσεις που ενδείκνυνται στην στένωση του οσφυϊκού σπονδυλικού σωλήνα είναι: 

Η οσφυϊκή πεταλεκτομή ή ημιπεταλεκτομή, η οσφυϊκή τρηματεκτομή, η οσφυϊκή δισκεκτομή και συνδυασμοί των ανωτέρω. Σε επιλεγμένες περιπτώσεις, όταν διαπιστώνεται (ή πιθανολογείται μετεγχειρητικά σε μεγάλο βαθμό) αστάθεια της σπονδυλικής στήλης, μπορεί να χρειαστεί και εντοπισμένη σπονδυλοδεσία.
Η επιλογή της χειρουργικής μεθόδου εξαρτάται από την κλινική συμπτωματολογία και τα απεικονιστικά ευρήματα και προσαρμόζεται ανάλογα για κάθε ασθενή, έτσι ώστε να επιτευχθεί το μέγιστο θεραπευτικό αποτέλεσμα σε συνδυασμό με την μεγαλύτερη δυνατή διατήρηση ή ανακατασκευή της φυσιολογικής ανατομίας και λειτουργίας. Δες και ενότητες: Οσφυϊκή Πεταλεκτομή και Οσφυϊκή Σπονδυλοδεσία.