![]() |
Η οπίσθια αυχενική σπονδυλοδεσία είναι η επέμβαση με την οποία σταθεροποιείται με οπίσθια προσπέλαση η αυχενική μοίρα της σπονδυλικής στήλης. Όταν στην σπονδυλοδεσία συμπεριλαμβάνεται και το ινιακό οστό τότε ονομάζεται ινιοαυχενική. Η σπονδυλοδεσία αυτού του τύπου ενδείκνυται σε ασθενείς με αστάθεια του αυχένα λόγω τραυματισμού, διάβρωσης ή ιατρογενούς εξαίρεσης των οπισθίων στοιχείων της σπονδυλικής στήλης. Είναι επίσης χρήσιμη ως εναλλακτική μέθοδος σε περιπτώσεις αποτυχημένης πρόσθιας σπονδυλοδεσίας. Η επέμβαση έχει λίγες αντενδείξεις και επιπλοκές και υψηλά ποσοστά επιτυχίας. |
Ενδείξεις
Η οπίσθια αυχενική σπονδυλοδεσία ενδείκνυται σε ασθενείς με αστάθεια του αυχένα οφειλόμενη σε οστική ή συνδεσμική κάκωση ή διάβρωση των οπισθίων στοιχείων της αυχενικής μοίρας της σπονδυλικής στήλης. Σε αυτή την κατηγορία συμπεριλαμβάνονται ασθενείς με κατάγματα ή υπεξαρθρήματα του αυχένα και οι ασθενείς στους οποίους έχει πραγματοποιηθεί εκτεταμένη αυχενική πεταλεκτομή λόγω εκφυλιστικών αλλοιώσεων ή όγκου. Είναι τέλος μια εναλλακτική μέθοδος σταθεροποίησης του αυχένα σε περιπτώσεις αποτυχημένης πρόσθιας σπονδυλοδεσίας. Η ινιοαυχενική σπονδυλοδεσία ενδείκνυται σε ασθενείς με κατάγματα, υπεξαρθρήματα ή όγκους στην ανώτερη μοίρα της αυχενικής μοίρας της σπονδυλικής στήλης ή στην ινιοαυχενική άρθρωση.
|
Περιγραφή Η οπίσθια αυχενική σπονδυλοδεσία πραγματοποιείται υπό γενική αναισθησία και με τον ασθενή σε πρηνή ή καθιστή θέση. Η τομή του δέρματος γίνεται στο μέσο του αυχένα και κατόπιν παρασκευάζονται τα οπίσθια στοιχεία της σπονδυλικής στήλης. Η σταθεροποίηση του αυχένα γίνεται με τη βοήθεια συστήματος με βίδες και ράβδους. Οι βίδες τοποθετούνται ή στα πλάγια ογκώματα ή στους αυχένες των αυχενικών σπονδύλων που πρόκειται να συνδεθούν, υπό ακτινοσκόπηση, και οι κεφαλές τους συνδέονται με ράβδους ενώνοντας με αυτό τον τρόπο τους σπονδύλους που χρήζουν σταθεροποίησης. Η τοποθέτηση των βιδών ακολουθείται, όταν αυτό απαιτείται, από πεταλεκτομή. Η ινιοαυχενική σπονδυλοδεσία διαφέρει στο ότι στη σπονδυλοδεσία συμπεριλαμβάνεται και το ινιακό οστό, στο οποίο επίσης τοποθετούνται βίδες και αυτές ενώνονται μέσω ράβδων στις βίδες των αυχενικών σπονδύλων σταθεροποιώντας έτσι και την ινιοαυχενική άρθρωση. |
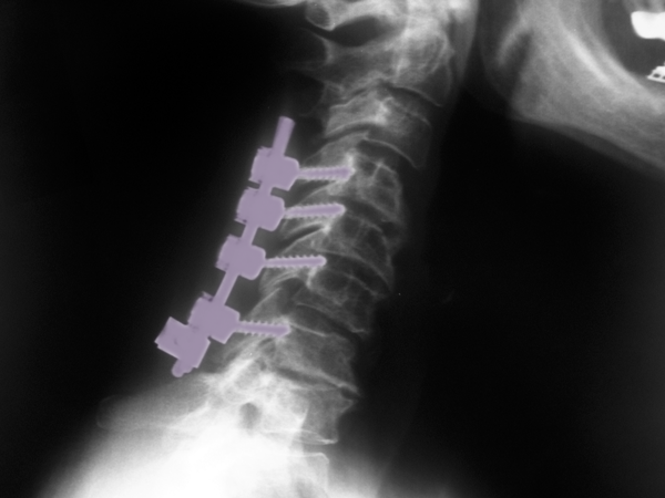
Οπίσθια αυχενική πεταλεκτομή και σπονδυλοδεσία Α4-Α7. |
|
Οπίσθια αυχενική πεταλεκτομή και σπονδυλοδεσία Α4-Α7. |
Αντενδείξεις και επιπλοκές Ουσιαστικά, είναι λίγες οι αντενδείξεις της οπίσθιας αυχενικής και ινιοαυχενικής σπονδυλοδεσίας. Η τεχνική είναι επισφαλής σε ασθενείς με εκσεσημασμένη οστεοπόρωση, ρευματολογικά και μεταβολικά οστικά νοσήματα όπου το οστό είναι μαλακό και σαθρό και υπάρχει αυξημένος κίνδυνος οι βίδες να μετατοπιστούν και να απολεσθεί η ανάταξη. Η μέθοδος επίσης δεν είναι κατάλληλη σε ασθενείς με παρουσία σαφούς και έντονης πρόσθιας πίεσης του νωτιαίου μυελού από οστό, μεσοσπονδύλιο δίσκο ή μαλακό ιστό ή σε ασθενείς με εγκατεστημένη κύφωση της ΑΜΣΣ. Οι επιπλοκές της οπίσθιας αυχενικής σπονδυλοδεσίας δεν είναι συχνές και περιλαμβάνουν την λοίμωξη του χειρουργικού τραύματος και σπανιότερα τον τραυματισμό των αυχενικών νεύρων ή της σπονδυλικής αρτηρίας. Σπάνια είναι επίσης η αστοχία του συστήματος σπονδυλοδεσίας με θραύση ή χαλάρωση των βιδών. Στην ινιοαυχενική σπονδυλοδεσία επιπλέον μπορεί να προκληθεί τραυματισμός της μήνιγγας ή του εγκεφάλου από τις βίδες του ινιακού οστού. |
Έκβαση
Τα ποσοστά αποτυχίας της οπίσθιας σπονδυλοδεσίας του αυχένα όσον αφορά στην σταθεροποίησή του είναι πολύ μικρά. Η επέμβαση συνεπάγεται συνήθως μείωση της κινητικότητας του αυχένα και αυτό είναι ιδιαίτερα εμφανές στην ινιοαυχενική εκδοχή της με μείωση και του εύρους των στροφικών κινήσεων της κεφαλής.

