Ιωάννης Αντωνιάδης

Νευροχειρουργός

 

 

Subdural

Τα οξέα επισκληρίδια και υποσκληρίδια αιματώματα του εγκεφάλου αποτελούν χειρουργικά επείγοντα. Είναι κατά κανόνα απότοκος βαρείας κρανιοεγκεγκεφαλικής κάκωσης και η έκβασή τους είναι χείριστη χωρίς άμεση χειρουργική θεραπεία. Το ίδιο ισχύεικαι για τα χρόνια υποσκληρίδια αιματώματα, τα οποία όταν προκαλούν συμπτώματα έχουν επίσης άμεση χειρουργική ένδειξη. Η θεραπεία στα οξέα αιματώματα είναι κρανιοτομία ή κρανιεκτομία και στα χρόνια υποσκληρίδια συνήθως κρανιοανάτρηση.

 

Ενδείξεις

Ουσιαστικά όλα τα οξέα επισκληρίδια και υποσκληρίδια αιματώματα έχουν ένδειξη χειρουργείου. Εξαίρεση, πολύ σπάνια, μπορεί να αποτελέσουν πολύ μικρά σε μέγεθος, μη ασκούντα πιεστικά φαινόμενα στον εγκέφαλο και διαπιστωμένα μη εξελισσόμενα αιματώματα (όπως π.χ. σε καθυστερημένη διάγνωση). Η συντριπτική πλειοψηφία τους αυξάνει ταχύτατα σε μέγεθος (ώρες), πιέζει τον εγκέφαλο και έχει ως τελικό αποτέλεσμα τον εγκολεασμό του εγκεφάλου και θάνατο. Τα χρόνια υποσκληρίδια αιματώματα απαιτούν επίσης κατά κανόνα χειρουργική θεραπεία, με τις ίδιες, συχνότερες όμως στην περίπτωσή τους, εξαιρέσεις.

Περιγραφή

Η παροχέτευση των οξέων αιματωμάτων γίνεται με κρανιοτομία ή κρανιεκτομία.
Στο επισκληρίδιο αιμάτωμα η παρέμβαση πρέπει να πραγματοποιηθεί άμεσα προκειμένου να σταματήσει η αιμορραγία και να μειωθεί η πίεση στον εγκέφαλο. Συνήθως συνυπάρχει κάταγμα του κρανίου το οποίο πρέπει να αναταχθεί ή να αφαιρεθεί. Η επιλογή της μεθόδου (κρανιοτομία ή κρανιεκτομία) αποφασίζεται κυρίως από τον βαθμό οιδήματος του εγκεφάλου και τις τυχόν συνυπάρχουσες βλάβες του, όπως οι θλάσεις του εγκεφάλου. Κρανιεκτομία πραγματοποιείται στις περιπτώσεις που το υποκείμενο οίδημα είναι μεγάλο και απαιτείται προσωρινά περισσότερος χώρος για την έκπτυξη του εγκεφάλου. Αυτό αποφασίζεται πολλές φορές διεγχειρητικά. Η χειρουργική προσπέλαση και το μέγεθος της κρανιοτομίας ή κρανιεκτομίας εξαρτώνται από το μέγεθος και τη θέση του επισκληριδίου αιματώματος. Η πιο συνήθης θέση είναι κροταφικά (το κροταφικό οστό είναι λεπτό), μετά από τραυματισμό της μέσης μηνιγγικής αρτηρίας. Η μήνιγγα σπάνια χρειάζεται να διανοιχθεί, απαιτείται όμως πάντα, μετά την αφαίρεση του αιματώματος, καυτηριασμός, απολίνωση ή άλλου είδους αιμόσταση του, μηνιγγικού συνήθως, αγγείου που αιμορραγεί. Στις περιπτώσεις που έχει τραυματιστεί η σκληρά μήνιγγα πραγματοποιείται μηνιγγοπλαστική, δηλαδή συρραφή με ή χωρίς την τοποθέτηση μοσχεύματος. Όταν πραγματοποιείται κρανιεκτομία, το οστικό έλλειμμα μπορεί να αποκατασταθεί με κρανιοπλαστική, μετά την έλευση λίγων μηνών.

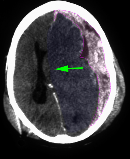
Epidural

Επισκληρίδιο αιμάτωμα (μώβ) κα κάταγμα κρανίου (πράσινο βέλος).

Στα οξέα υποσκληρίδια αιματώματα οι αρχές της θεραπείας είναι ουσιαστικά οι ίδιες. Και εδώ απαιτείται άμεση παρέμβαση, γιατί η πρόγνωση χειροτερεύει σημαντικά μετά τις 4 ώρες από την δημιουργία του αιματώματος. Απαιτείται πολύ συχνότερα κρανιεκτομία, γιατί οι υποκείμενες βλάβες του εγκεφάλου είναι επίσης συχνότερες, και το οίδημα του εγκεφάλου μπορεί να αποτελέσει μείζον πρόβλημα διεγχειρητικά και μετεγχειρητικά. Το μέγεθός τους είναι συνήθως μεγάλο και κατά επέκταση η κρανιοτομία ή κρανιεκτομία που απαιτείται. Η μήνιγγα διανοίγεται πάντα και χρειάζεται και επίσης, μετά την αφαίρεση του αιματώματος, ανεύρεση και αιμόσταση του εγκεφαλικού αγγείου (φλέβα συνήθως) που αιμορραγεί. Τέλος εκτελείται μηνιγγοπλαστική και επανατοποθέτηση του οστικού κρημνού όταν εκτελείται κρανιοτομία, ενώ στις κρανιεκτομίες μπορεί να γίνει κρανιοπλαστική μετά από μερικούς μήνες.
Τα χρόνια υποσκληρίδια αιματώματα είναι πιο αργά αναπτυσσόμενες νοσολογικές οντότητες και η χειρουργική παρέμβαση έχει συνήθως μεγαλύτερα χρονικά περιθώρια. Το περιεχόμενό τους επίσης, δεν είναι συμπαγές αιμάτωμα με χαρακτήρα θρόμβου όπως στα οξέα αιματώματα, και μπορεί να παροχετευθεί με 1 ή 2 κρανιοανατρήσεις, οπές στο κρανίο και την μήνιγγα, στην περιοχή του αιματώματος. Η κρανιοανάτρηση μπορεί να συνοδευτεί από την τοποθέτηση ενός λεπτού καθετήρα σιλικόνης μέσα στο αιμάτωμα ο οποίος παροχετεύει εξωτερικά τα υπολείμματα του αιματώματος για μερικά εικοσιτετράωρα και κατόπιν αφαιρείται. Όταν εντός του αιματώματος υπάρχουν διαφράγματα ή στοιχεία νέας, πρόσφατης αιμορραγίας μπορεί να απαιτηθεί, αντί της κρανιοανάτρησης, μια μικρή κρανιοτομία διαμέτρου 3 περίπου εκατοστών για την καλύτερη και ασφαλέστερη παροχέτευσή του.

Αντενδείξεις και Επιπλοκές

Αντενδείξεις στην χειρουργική των επισκληριδίων και των υποσκληριδίων αιματωμάτων δεν υπάρχουν. Στα οξέα υποσκληρίδια αιματώματα σε ασθενείς με διαταραχή της πηκτικότητας, ιατρογενούς ή μη, δόκιμο είναι να γίνεται άμεση και ταχεία προεγχειρητική προσπάθεια ανάταξής της, (π.χ. αναστροφή της δράσης αντιπηκτικών φαρμάκων), όταν αυτό είναι εφικτό, γιατί χειρουργική επέμβαση με διαταραγμένο πηκτικό μηχανισμό μπορεί να προκαλέσει περισσότερη βλάβη παρά ωφέλεια. Η απόφαση για τον χρόνο επέμβασης σε αυτούς τους ασθενείς είναι ιδιαίτερα εξατομικευμένη και γίνεται με γνώμονα να υπάρξει ο μικρότερος κίνδυνος για την νευρολογική ακεραιότητα και την επιβίωση του ασθενούς.
Οι επιπλοκές της παροχέτευσης των επισκληριδίων αιματωμάτων είναι κατά βάση οι ίδιες με οποιασδήποτε άλλης κρανιοτομίας ή κρανιεκτομίας με συνηθέστερες την λοίμωξη και την αιμορραγία. Η άμεση επαναιμορραγία δεν είναι συνηθισμένη αλλά σε καμία περίπτωση ανύπαρκτη, ειδικά σε σύνθετα κατάγματα της βάσης του κρανίου τα οποία φέρουν και την χειρότερη πρόγνωση. Στα οξέα υποσκληρίδια, οι επιπλοκές είναι κατά βάση οι ίδιες, αλλά η επαναιμορραγία είναι συχνότερη, ιδιαίτερα στους ασθενείς που ήταν υπό αντιπηκτική θεραπεία. Στα χρόνια υποσκληρίδια αιματώματα, οι κύριες επιπλοκές είναι η ενδοεγκεφαλική αιμορραγία (έως και 5% των ασθενών), οι επιληπτικές κρίσεις, και οι λοιμώξεις.

Έκβαση

Τα επισκληρίδια αιματώματα έχουν γενικά καλή έκβαση όταν χειρουργηθούν άμεσα, και δεν έχουν προλάβει να δημιουργηθούν βλάβες του εγκεφάλου. Αντιθέτως τα οξέα υποσκληρίδια αιματώματα έχουν 30-60% θνησιμότητα, η οποία ανεβαίνει στο περίπου 90% όταν χειρουργηθούν μετά τις 4 ώρες από την δημιουργία τους. Υψηλά είναι επίσης και τα ποσοστά μόνιμων νευρολογικών βλαβών στους επιβιώσαντες.
Τα χρόνια υποσκληρίδια αιματώματα έχουν θνησιμότητα κάτω του 4% (0,5% σε νεότερες μελέτες), κυρίως σε ηλικιωμένους ασθενείς. Μετεγχειρητική επιδείνωση της νευρολογικής κατάστασης των ασθενών παρατηρείται στο ίδιο ποσοστό. Υποτροπή με ανάγκη επανεπέμβασης υπάρχει περίπου στο 25% των ασθενών και τρίτης επέμβασης περίπου στο 10% των ασθενών.