![]() |
Οι παρακάμψεις της παροχέτευσης του εγκεφαλονωτιαίου υγρού (Ε.Ν.Υ.) πραγματοποιούνται σε ασθενείς με υδροκέφαλο, αποφρακτικού ή επικοινωνούντος τύπου. Οι πιο κοινές παρακάμψεις είναι η κοιλιοπεριτοναϊκή και η οσφυοπεριτοναϊκή. Κοιλιοπεριτοναϊκή είναι η παράκαμψη του Ε.Ν.Υ. από τις πλάγιες κοιλίες του εγκεφάλου στην περιτοναϊκή κοιλότητα και οσφυοπεριτοναϊκή από τον μηνιγγικό σάκο του σπονδυλικού σωλήνα επίσης στην περιτοναϊκή κοιλότητα. Τα συστήματα παράκαμψης περιέχουν και μηχανισμούς ρύθμισης της ροής του εγκεφαλονωτιαίου υγρού η οποία ονομάζεται βαλβίδα και η οποία μπορεί να είναι ρυθμιζόμενη (όσον αφορά στην πίεση διάνοιξής της και τη ροή) ή μη. Σκοπός της επέμβασης είναι να παροχετευθεί η περίσσεια εγκεφαλονωτιαίου υγρού στην περιτοναϊκή κοιλότητα και να ανακουφίσει τα συμπτώματα του υδροκεφάλου και σε ορισμένες περιπτώσεις να διασωθεί η όραση και η ζωή του ασθενούς. |
Ενδείξεις
Η κοιλιοπεριτοναϊκή παράκαμψη του Ε.Ν.Υ. πραγματοποιείται σε ασθενείς με υδροκέφαλο αποφρακτικού αλλά και επικοινωνούντος τύπου. Αυτό περιλαμβάνει ασθενείς με όγκους που αποφράσουν την κυκλοφορία του Ε.Ν.Υ., υδροκέφαλο φυσιολογικής πίεσης, ιδιοπαθή ενδοκράνιο υπέρταση, μεθαιμορραγικούς και μεταλοιμώδεις υδροκεφάλους, στενώσεις του υδραγωγού του Sylvius κ.α. Η τοποθέτηση του συστήματος κοιλιοπεριτοναϊκής παράκαμψης σε ασθενείς με αυξημένη ενδοκράνια πίεση πρέπει να γίνεται άμεσα, ειδάλλως τα συμπτώματα, (όπως π.χ. η διαταραχή της όρασης), μονιμοποιούνται, επιδεινώνονται και ο ασθενής μπορεί να οδηγηθεί σε κώμα και θάνατο (όπως σε οξείες αποφράξεις της κυκλοφορίας του Ε.Ν.Υ.). H οσφυοπεριτοναϊκή παράκαμψη του Ε.Ν.Υ. είναι κατάλληλη μόνο σε ασθενείς με υδροκέφαλο επικοινωνούντος τύπου.
|
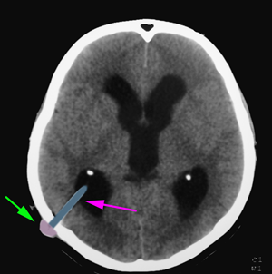
Περιγραφή Το σύστημα κοιλιοπεριτοναικής παράκαμψης περιλαμβάνει 3 βασικά μέρη: τον κοιλιακό καθετήρα, τη βαλβίδα, και τον περιτοναϊκό καθετήρα. Ο κοιλιακός καθετήρας τοποθετείται στο μετωπιαίο ή ινιακό κέρας της, δεξιάς συνήθως, πλαγίας κοιλίας με κρανιοανάτρηση, διάνοιξη δηλαδή μικρής οπής στο οστό του κρανίου, μετωπιαία ή ινιακά αντίστοιχα. Από την οπή της κρανιοανάτρησης εισέρχεται λεπτός καθετήρας από σιλικόνη, ο οποίος φτάνει διαμέσου του εγκεφαλικού παρεγχύματος στην πλάγια κοιλία του εγκεφάλου προκειμένου να παροχετευθεί το Ε.Ν.Υ. Ο καθετήρας συνδέεται κατόπιν κάτω από το δέρμα με μια βαλβίδα, ρυθμιζόμενη ή μη, η οποία εμφυτεύεται επίσης κάτω από το δέρμα περίπου 2 εκατοστά πίσω από το δεξιό αυτί. Η βαλβίδα συνδέεται με τη σειρά της στον περιτοναϊκό καθετήρα σιλικόνης ο οποίος διατρέχει, πάντα εμφυτευμένος κάτω από το δέρμα, από την βαλβίδα-διαμέσου της περιοχής του τραχήλου και τους θώρακα δεξιά-έως την κοιλιακή χώρα. Η είσοδος του καθετήρα στην περιτοναϊκή κοιλότητα απαιτεί διάνοιξη μικρής τομής στο κοιλιακό τοίχωμα, μήκους λίγων εκατοστών. Στην τελική του μορφή το σύστημα παροχετεύει Ε.Ν.Υ. από το κοιλιακό σύστημα του εγκεφάλου στο περιτόναιο με ενδιάμεσο την βαλβίδα της οποίας η πίεση διάνοιξης, όταν είναι ρυθμιζόμενη, μπορεί να μεταβάλλεται με ειδικό εξωτερικό ρυθμιστή (πάνω από το δέρμα) ανάλογα με τις ανάγκες του ασθενούς (περισσότερη ή λιγότερη παροχέτευση Ε.Ν.Υ.). |
Σύστημα κοιλιοπεριτοναϊκής παροχέτευσης με βαλβίδα. Κοιλιακός καθετήρας (εισέρχεται στο κοιλιακό σύστημα του εγκεφάλου) με πράσινο βέλος, ρεζερβουάρ Ε.Ν.Υ. με κυανό βέλος, βαλβίδα ρύθμισης της πίεσης με κίτρινο βέλος, περιτοναϊκός καθετήρας με κόκκινο βέλος. |
Ο οσφυϊκός καθετήρας σιλικόνης εμφυτεύεται χαμηλά στην οσφυϊκή χώρα με μικρή τομή δέρματος και κατόπιν διατρέχει κάτω από το δέρμα έως την πλάγια κοιλιακή χώρα όπου συνδέεται με βαλβίδα. Ο περιτοναϊκός καθετήρας συνδέεται με τη βαλβίδα και εισέρχεται στην περιτοναϊκή κοιλότητα με μικρή τομή στο κοιλιακό τοίχωμα. Πέραν των ανωτέρω συστημάτων υπάρχουν και άλλα τα οποία παροχετεύουν Ε.Ν.Υ. προς άλλα οργανικά συστήματα, όπως η κοιλιοκολπική (παροχέτευση του Ε.Ν.Υ. στον δεξιό κόλπο της καρδιάς) αλλά αυτές χρησιμοποιούνται σήμερα πολύ σπανιότερα.
Αντενδείξεις και επιπλοκές
Η κύρια αντένδειξη τοποθέτησης παράκαμψης του Ε.Ν.Υ. είναι η ενεργός λοίμωξη και κυρίως οποιουδήποτε σημείου σχετίζεται με την εμφύτευση του συστήματος (δέρμα, περιτοναϊκή κοιλότητα, οσφύη και Ε.Ν.Υ.). Η οσφυοπεριτοναϊκή παράκαμψη αντενδείκνυται επιπλέον σε αποφρακτικού τύπου υδροκέφαλο. Οι κυριότερες επιπλοκές της τοποθέτησης συστήματος παράκαμψης του Ε.Ν.Υ. είναι η λοίμωξη του συστήματος, η αστοχία του (απόφραξη, ρήξη, μετατόπιση) και η σπανιότερα η αιμορραγία (ενδοεγκεφαλική ή υποσκληρίδιος).
Έκβαση
Οι ασθενείς με υψηλή ενδοκράνιο πίεση (αποφρακτικός υδροκέφαλος, ιδιοπαθής ενδοκράνιος υπέρταση κ.α. ενδείξεις) τείνουν να βελτιώνονται άμεσα διότι η παράκαμψη του Ε.Ν.Υ επιφέρει και άμεση μείωση της πίεσης στην κοιλότητα του κρανίου. Αυτό προϋποθέτει τοποθέτηση του συστήματος το συντομότερο δυνατό από την έναρξη των συμπτωμάτων προτού επέλθει μόνιμη νευρολογική βλάβη. Στους ασθενείς με υδροκέφαλο φυσιολογικής πίεσης το αποτέλεσμα της επέμβασης μπορεί να εξελιχθεί βραδύτερα καθ’ όσον οι ασθενείς αυτοί είναι συνήθως ηλικιωμένοι, έχουν μακρύ ιστορικό και η ανάταξη των συμπτωμάτων (αστάθεια βάδισης, διαταραχή μνήμης, ακράτεια ούρων) μπορεί να χρειαστεί περισσότερο χρόνο.
