![]() |
Το αυτόματο ενδοεγκεφαλικό αιμάτωμα ή εγκεφαλική αιμορραγία, είναι η δεύτερη πιο συχνή μορφή αγγειακού εγκεφαλικού επεισοδίου μετά το εγκεφαλικό έμφρακτο. Προσβάλει περισσότερο τους ηλικιωμένους. Τα συμπτώματά του εξαρτώνται από το μέγεθος και την θέση του στον εγκέφαλο και είναι, μεταξύ άλλων, η κεφαλαλγία, με συνοδό συνήθως έμετο, διαταραχή του επιπέδου συνειδήσεως και διαφορετικοί βαθμοί και είδη νευρολογικού ελλείμματος, όπως η αδυναμία και η υπαισθησία (μούδιασμα) σε ένα ή περισσότερα άκρα, διαταραχές του λόγου κ.α. Η πρόγνωση εξαρτάται και αυτή από το μέγεθος και τη θέση του αιματώματος, την ηλικία και την γενικότερη υγεία του ασθενούς και το ίδιο ισχύει για την θεραπεία της οποίας η επιλογή (συντηρητική ή χειρουργική) πρέπει να είναι βαρύτατα εξατομικευμένη. |
Επίπτωση και Αιτίες
Το αυτόματο ενδοεγκεφαλικό αιμάτωμα αποτελεί το 15% περίπου όλων των αγγειακών εγκεφαλικών επεισοδίων, και πλήττει περίπου 25 ασθενείς ανά 100.000 ανθρώπους και έτος. Η επίπτωσή του αυξάνει συνεχώς μετά τα 55 έτη και είναι η μεγαλύτερη μετά τα 80. Οι αιτίες του είναι πολλές και συμπεριλαμβάνουν την αρτηριακή υπέρταση, την κατάχρηση οινοπνευματωδών ποτών, τις διαταραχές της πηκτικότητας του αίματος κ.α. Για ευνόητους λόγους η χρήση αντιπηκτικών φαρμάκων, όπως η ασπιρίνη, ευνοεί τη δημιουργία τους όταν προυπάρχουν οι κύριες γενεσιουργές αιτίες. Παλαιότερα εγκεφαλικά επεισόδια θεωρείται ότι αυξάνουν σημαντικά τον κίνδυνο αυτόματου ενδοεγκεφαλικού αιματώματος. Αυτόματα ενδοεγκεφαλικά αιματώματα παρατηρούνται και σε πολύ νεότερους ασθενείς (κάτω των 45 ετών) και τότε είναι συνήθως απότοκος ανευρύσματος εγκεφάλου ή αρτηριοφλεβώδους δυσπλασίας
Συμπτώματα
Τα συμπτώματα του αυτόματου ενδοεγκεφαλικού αιματώματος αναπτύσσονται σε χρονικό διάστημα λεπτών έως ωρών από τη δημιουργία του και είναι η κεφαλαλγία, με συνοδό συνήθως έμετο, διαταραχή του επιπέδου συνειδήσεως (υπνηλία, λήθαργος και σε βαρύτερες περιπτώσεις κώμα) και διαφορετικοί βαθμοί και είδη νευρολογικού ελλείμματος, όπως η αδυναμία και η υπαισθησία (μούδιασμα) σε ένα ή περισσότερα άκρα, διαταραχές του λόγου κ.α. Η ύπαρξη αίματος εντός του εγκεφαλικού παρεγχύματος δημιουργεί περιβάλλον οίδημα σε αυτό, το οποίο σε συνδυασμό με ενδεχόμενη συνεχιζόμενη αιμορραγία, ειδικά στους ασθενείς με αντιπηκτικά, τείνει να επιδεινώνει τα συμπτώματα τις πρώτες ημέρες.
|
Διάγνωση Απαραίτητες είναι: Η λεπτομερής λήψη ιστορικού και η κλινική εξέταση, Η αξονική ή μαγνητική τομογραφία εγκεφάλου, Ο εργαστηριακός έλεγχος της πηκτικότητας του αίματος. Σε ορισμένες περιπτώσεις: Η μαγνητική, αξονική ή ψηφιακή αγγειογραφία του εγκεφάλου (κυρίως σε νεότερους ασθενείς). Πρόγνωση Η νοσηρότητα και η θνησιμότητα από ένα αυτόματο ενδοεγκεφαλικό αιμάτωμα ορίζεται από τον συνδυασμό μεγέθους και θέσης του αιματώματος, της ηλικίας και της γενικής κατάστασης του ασθενούς. Η συνολική θνησιμότητα είναι περίπου 44% τις πρώτες 30 ημέρες. Είναι προφανές ότι μικρότερα αιματώματα σε μη ευγενείς περιοχές του εγκεφάλου (όπως αυτές που ελέγχουν την κίνηση και τον λόγο), έχουν πολύ καλύτερη πρόγνωση και μπορεί να απορροφηθούν χωρίς να αφήσουν μόνιμα νευρολογικά ελλείμματα. Μεγαλύτερα αιματώματα προκαλούν όχι μόνο νευρολογική βλάβη αλλά και μπορεί να απειλήσουν άμεσα την ζωή του ασθενούς. |
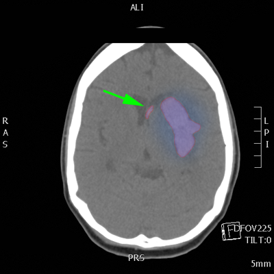
Αυτόματο ενδοεγκεφαλικό αιμάτωμα (κόκκινο περίγραμμα) με περιεστικό οίδημα (μπλέ). Αιμορραγία και στην αριστερή πλάγια κοιλία του εγκεφάλου (πράσινο βέλος). |
Θεραπεία
Η επιλογή της θεραπείας στο αυτόματο ενδοεγκεφαλικό αιμάτωμα πρέπει να είναι ιδιαιτέρως εξατομικευμένη. Το μεγέθος και η θέση του αιματώματος, η ηλικία και η γενική κατάσταση του ασθενούς, η πηκτικότητα του αίματος και η δυνατότητα αναστροφής της διαταραχής της αν αυτή υπάρχει, η ποσότητα του οιδήματος του εγκεφάλου και τέλος το είδος και ο βαθμός της νευρολογικής βλάβης ορίζουν την επιλογή της. Σε γενικές γραμμές μικρά αιματώματα που δεν προκαλούν σοβαρό νευρολογικό έλλειμμα μπορούν να τεθούν υπό παρακολούθηση ενώ μεγαλύτερα αιματώματα που προκαλούν σοβαρή πίεση στον εγκέφαλο, και κυρίως αυτά που βρίσκονται κοντά στην επιφάνεια του, μπορεί να αποτελέσουν αντικείμενο ακόμα και άμεσης χειρουργικής παροχέτευσης με την βοήθεια κρανιοτομίας, με σκοπό κυρίως την επιβίωση του ασθενούς και λιγότερο την ανάταξη της νευρολογικής βλάβης, η οποία είναι συνήθως πολύ αμφίβολη. Σε περιπτώσεις εγκεφαλικής αιμορραγίας στις οποίες διαπιστώνεται ανεύρυσμα ή αρτηριοφλεβώδης δυσπλασία του εγκεφάλου η θεραπεία έχει ως επιπλέον σκοπό την αποφυγή της επαναιμορραγίας και για αυτό πρέπει να συμπεριλαμβάνει και την αιτία του αιματώματος. Δες και ενότητες: Παροχέτευση Αυτόματου Ενδοεγκεφαλικού Αιματώματος, Ανευρύσματα και Αρτηριοφλεβώδεις Δυσπλασίες Εγκεφάλου και Απολίνωση και Εμβολισμός Εγκεφαλικού Ανευρύσματος.

