|
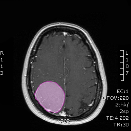
Τα μηνιγγιώματα του εγκεφάλου είναι οι πιο συχνά διαγνωσκόμενοι πρωτοπαθείς όγκοι της κρανιακής κοιλότητας. Εκφύονται από τις μήνιγγες, τα ινώδη περιβλήματα, του εγκεφάλου και είναι, στο μεγαλύτερο ποσοστό τους, καλοήθεις με αργή ανάπτυξη. Ανάλογα με τη θέση και το μέγεθος τους μπορεί να προκαλέσουν διάφορα συμπτώματα όπως επιληπτικές κρίσεις, αδυναμία ή/και υπαισθησία (μούδιασμα) σε ένα ή περισσότερα άκρα, διαταραχές του λόγου ή της όρασης, κ.α. Όχι σπάνια ανακαλύπτονται τυχαία σε απεικονιστικούς ελέγχους μη έχοντας προλάβει να δημιουργήσουν συμπτώματα. Η θεραπεία τους, όταν προκαλούν ή ενδέχεται να προκαλέσουν συμπτώματα είναι χειρουργική, ακτινοχειρουργική ή, σπανιότερα, ακτινοθεραπευτική. |
|
Επίπτωση και Αιτίες Τα μηνιγγιώματα του εγκεφάλου αποτελούν το 34% των ετησίως διαγνωσκόμενων πρωτοπαθών όγκων του εγκεφάλου και προσβάλλουν συχνότερα τις γυναίκες (η αναλογία προς τους άντρες είναι περίπου 2 έως 3:1). Ανακαλύπτονται πιο συχνά σε ηλικίες ανάμεσα στα 40-70 έτη. Το 90% από αυτά είναι καλοήθη, και μεγαλώνουν αργά, με ρυθμό συνήθως μερικών χιλιοστών ανά έτος, το 8% θεωρούνται άτυπα και έχουν μεγαλύτερο ρυθμό ανάπτυξης, και το 2% παρουσιάζουν κακοήθη χαρακτηριστικά. Για την δημιουργία των μηνιγγιωμάτων έχει αποδειχθεί, σε διαφόρους βαθμούς, ότι ενέχονται: παλαιότερη έκθεση σε ιονισμένη ακτινοβολία (όπως π.χ. ακτινοθεραπεία εγκεφάλου), ορμονολογικοί παράγοντες (κάποια μηνιγγιώματα φέρουν υποδοχείς οιστρογόνων, προγεστερόνης και ανδρογόνων) και γενετικοί παράγοντες (αυξημένη επίπτωση σε ασθενείς με π.χ. νευροϊνωμάτωση). Στα περισσότερα μηνιγγιώματα η αιτία της δημιουργίας τους δεν μπορεί να απομονωθεί ή να αποδειχθεί, όπως συμβαίνει με τους περισσότερους καλοήθεις όγκους. |
|
![]() |
Συμπτώματα Τα συμπτώματα των μηνιγγιωμάτων ορίζονται από τον συνδυασμό της θέσης και του μεγέθους τους. Μικρά μηνιγγιώματα σε επαφή και με πίεση επί ευγενών περιοχών του εγκεφάλου, όπως αυτές που ελέγχουν την κίνηση, τον λόγο ή την όραση μπορεί να προκαλέσουν περισσότερα συμπτώματα από πολύ μεγαλύτερα σε μέγεθος μηνιγγιώματα που πιέζουν λιγότερο σημαντικές περιοχές. Τα συχνότερα συμπτώματα είναι οι επιληπτικές κρίσεις, η αδυναμία ή/και η υπαισθησία (μούδιασμα) σε ένα ή περισσότερα άκρα και οι διαταραχές του λόγου και της όρασης. Όπως προαναφέρθηκε τα μηνιγγιώματα μπορεί να ανακαλυφθούν τυχαία σε απεικονιστικό έλεγχο του εγκεφάλου για διαφορετικούς λόγους, χωρίς να έχουν προκαλέσει (ακόμη) κανένα σύμπτωμα |
|
Διάγνωση Απαραίτητα είναι: Η λεπτομερής λήψη ιστορικού και η κλινική εξέταση, Η μαγνητική τομογραφία του εγκεφάλου με σκιαγραφικό, Σε ορισμένες περιπτώσεις: Η μαγνητική αγγειογραφία ή/και φλεβογραφία του εγκεφάλου, Η μαγνητική τομογραφία του εγκεφάλου με σκιαγραφικό για νευροπλοήγηση, Ηλεκτροεγκεφαλογράφημα και άλλες εξειδικευμένες εξετάσεις όπως μέτρηση οπτικής οξύτητας και οπτικών πεδίων προτείνονται κατά περίπτωση. |
|
|
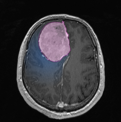
Πρόγνωση Τα μηνιγγιώματα τείνουν να μεγαλώνουν στο χρόνο με ρυθμούς ανάλογους με τον ιστολογικό τους τύπο, με τα καλοήθη να παρουσιάζουν μέση ανάπτυξη μερικών χιλιοστών ανά έτος. Τα άτυπα και τα κακοήθη έχουν σημαντικά αυξημένο ρυθμό ανάπτυξης (πάνω από ένα έως αρκετά εκατοστά ανά έτος). Αποτιτανωμένα μηνιγγιώματα τα οποία συνήθως ανακαλύπτονται τυχαία σε ηλικιωμένους ασθενείς ορισμένες φορές δεν μεταβάλονται σημαντικά στο χρόνο. |
![]() |
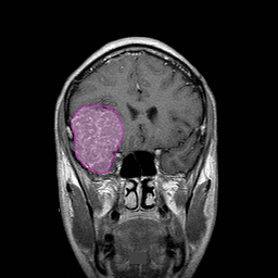
Θεραπεία Η θεραπεία των μηνιγγιωμάτων που προκαλούν συμπτώματα είναι κατά κανόνα χειρουργική, και αυτό γιατί αποτελεί τον πλέον άμεσο και αποτελεσματικό τρόπο να αποσυμπιεστεί ο εγκεφαλικός ιστός ή τα κρανιακά νεύρα τα οποία πιέζονται. Στα ασυμπτωματικά μηνιγγιώματα η θεραπευτική σύσταση γίνεται ανά περίπτωση και η απόφαση εξαρτάται από πολλούς παράγοντες, όπως η ηλικία του ασθενούς, το μέγεθος και η θέση του μηνιγγιώματος, τα απεικονιστικά χαρακτηριστικά του, οι πληροφορίες που υπάρχουν από παλαιότερες απεικονίσεις για το ρυθμό ανάπτυξής του, κα. Όταν η θέση των μηνιγγιωμάτων ή η γενικότερη υγεία του ασθενούς δεν επιτρέπει ασφαλή χειρουργική παρέμβαση, τότε μπορεί |
![]() |
να προταθεί η ακτινοχειρουργική, ή σε μεγαλύτερα σε μέγεθος μηνιγγιώματα, η στερεοτακτική ακτινοθεραπεία. Συνδυασμός θεραπειών, όπως χειρουργική και κατόπιν ακτινοχειρουργική σε τυχόν υπόλειμμα το οποίο δεν μπορεί να αφαιρεθεί με ασφάλεια, δεν είναι ασυνήθιστος. Παρακολούθηση μπορεί να συσταθεί σε επιλεγμένες περιπτώσεις ασυμπτωματικών μηνιγγιωμάτων, συνήθως αποτιτανωμένων, σε ασθενείς μεγάλης ηλικίας. 'Οπως προκύπτει από τα παραπάνω, η επιλογή του τρόπου και του χρόνου της θεραπείας είναι εξαιρετικά εξατομικευμένη για κάθε ασθενή. Δες και ενότητες: Εξαίρεση Όγκου Εγκεφάλου-Κρανιοτομία και Ακτινοχειρουργική γ-knife.



