Ιωάννης Αντωνιάδης

Νευροχειρουργός

 

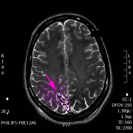
Aneyrysm5

Τα ανευρύσματα των εγκεφαλικών αρτηριών είναι τοπικές, σφαιρικές συνήθως, διαστολές των τοιχωμάτων τους. Δημιουργούνται όταν οι εγκεφαλικές αρτηρίες αναπτύξουν αδύνατα σημεία στο τοίχωμά τους. Η ρήξη των ανευρυσμάτων εκδηλώνεται ως υπαραχνοειδής αιμορραγία, μια διάχυτη αιμορραγία στην επιφάνεια του εγκεφάλου, ή ως ενδοεγκεφαλική αιμορραγία. Οι αρτηριοφλεβώδεις δυσπλασίες είναι ενδοεγκεφαλικές εξεργασίες που αποτελούνται από ένα σύνολο παθολογικών αγγείων, συγκεκριμένα φλέβες και αρτηρίες οι οποίες επικοινωνούν απευθείας μεταξύ τους χωρίς φυσιολογικό ενδιάμεσο σύστημα τριχοειδικών αγγείων. Είναι συνήθως συγγενείς ανωμαλίες και εκδηλώνονται με εγκεφαλική αιμορραγία όταν διαρραγούν ή με κεφαλαλγία, επιληπτικές κρίσεις και νευρολογικό έλλειμμα (αδυναμία άκρων, υπαισθησία, διαταραχή του λόγου κ.α.) πριν τη ρήξη τους. Αρκετά ανευρύσματα και αρτηριοφλεβώδεις δυσπλασίες ανευρίσκονται τυχαία σε απεικονιστικούς ελέγχους του εγκεφάλου πριν προλάβουν να προκαλέσουν συμπτώματα. Η διάγνωσή τους γίνεται με αγγειογραφία και η θεραπεία τους είναι σχεδόν πάντα επεμβατική με χειρουργείο, εμβολισμό, ακτινοχειρουργική ή συνδυασμούς τους.

 

Επίπτωση και Αιτίες

Η επίπτωση των ανευρυσμάτων του εγκεφάλου είναι περίπου 1 στους 10.000 ανθρώπους. Οι αρτηριοφλεβώδεις δυσπλασίες είναι αρκετά σπανιότερες, με επίπτωση περίπου 1,4/100.000 ανθρώπους. Παράγοντες κινδύνου για την ανάπτυξη ανευρυσμάτων είναι το κάπνισμα, η αρτηριακή υπέρταση, η παχυσαρκία αλλά και διάφορα γενετικά σύνδρομα όπως η πολυκυστική νόσος των νεφρών, η νευροϊνωμάτωση τύπου Ι, το σύνδρομο Marfan κ.α. Οι αρτηριοφλεβώδεις δυσπλασίες είναι συνήθως συγγενείς.  

Συμπτώματα

Ανευρύσματα

Τα ανευρύσματα των αρτηριών εγκεφάλου είναι συνήθως ασυμπτωματικές νόσοι έως την ρήξη τους. Ορισμένα πιέζουν εγκεφαλικά νεύρα, ιδιαίτερα τα οφθαλμοκινητικά, και μπορεί να προκαλέσουν διπλωπία. Η ρήξη τους εκδηλώνεται με υπαραχνοειδή αιμορραγία, μια διάχυτη αιμορραγία στην επιφάνεια του εγκεφάλου, η οποία προκαλεί αιφνίδια, εξαιρετικά έντονη, ινιακή συνήθως, κεφαλαγία, έμετο, και όχι σπάνια διαταραχή του επιπέδου συνειδήσεως και λιποθυμία. Η υπαραχνοειδής αιμορραγία είναι μια εξαιρετικά σοβαρή νόσος με υψηλά ποσοστά θνησιμότητας η οποία απαιτεί άμεση θεραπεία.

Αρτηριοφλεβώδεις Δυσπλασίες

Οι περισσότερες αρτηριοφλεβώδεις δυσπλασίες είναι ασυμπτωματικές και ανευρίσκονται τυχαία. Η πιο συχνή εκδήλωση των αρτηριοφλεβωδών δυσπλασιών είναι η ενδοεγκεφαλική αιμορραγία. Πριν από την ρήξη τους μπορεί να προκαλέσουν επιληπτικές κρίσεις και ποικίλα νευρολογικά ελλείμματα ανάλογα με την θέση και το μέγεθος τους (αδυναμία ή μούδιασμα σε άκρα ή στο πρόσωπο, διαταραχές του λόγου, οφθαλμοκινητικές διαταραχές κ.α.).

AVM2

Αρτηριοφλεβώδης δυσπλασία (περίγραμμα).  

Διάγνωση

Υπαραχνοειδής αιμορραγία:

Μαγνητική ή/και Αξονική τομογραφία εγκεφάλου,

Μαγνητική, αξονική ή, κυρίως, ψηφιακή αγγειογραφία εγκεφάλου.

Οσφυονωτιαία παρακέντηση.

Ανευρύσματα:

Μαγνητική, αξονική ή, κυρίως, ψηφιακή αγγειογραφία εγκεφάλου.

Αρτηριοφλεβώδεις Δυσπλασίες:

Μαγνητική ή αξονική τομογραφία εγκεφάλου με σκιαγραφικό,

Μαγνητική, αξονική ή, κυρίως, ψηφιακή αγγειογραφία εγκεφάλου.


AVM3

Αρτηριοφλεβώδης δυσπλασία, μάζα παθολογικών αγγείων με χρώμα 

Πρόγνωση

Ανευρύσματα

Η πιθανότητα ρήξης ενός ανευρύσματος εξαρτάται από την θέση του και κυρίως το μέγεθός του και υπολογίζεται κατά μέσο όρο σε περίπου 1% ετησίως (μικρότερη σε ανευρύσματα μικρότερα των 10 mm σε διάμετρο, και αρκετά μεγαλύτερη σε μεγάλα ανευρύσματα). Η υπαραχνοειδής αιμορραγία έχει περίπου 50% θνησιμότητα το πρώτο μήνα μετά την εκδήλωσή της και σημαντική νευρολογική νοσηρότητα στους επιβιώσαντες ασθενείς (περίπου 30% έχουν σημαντική νευρολογική βλάβη).

Αρτηριοφλεβώδεις Δυσπλασίες

Η πιθανότητα ρήξης μιας αρτηριοφλεβώδους δυσπλασίας υπολογίζεται σε 2-4% ετησίως. Η πρόγνωση της εγκεφαλικής αιμορραγίας εξαρτάται από την θέση και το μέγεθός της. Τα συμπτώματα που προκαλούνται από μη ραγέντες αρτηριοφλεβώδεις δυσπλασίες δεν ανατάσσονται χωρίς την αφαίρεσή της.


Θεραπεία

Ανευρύσματα:

Η θεραπεία των ανευρυσμάτων είναι κατά κανόνα παρεμβατική με χειρουργική επέμβαση ή εμβολισμό. Η χειρουργική επέμβαση αποσκοπεί στην απομόνωση του ανευρύσματος από την υπόλοιπη αρτηριακή κυκλοφορία η οποία πραγματοποιείται με τοποθέτηση ειδικού clip στη βάση του. Ο εμβολισμός γίνεται με ενδαγγειακό καθετήρα με την βοήθεια του οποίου τοποθετούνται μεταλλικά ελάσματα εντός του ανευρύσματος με αποτέλεσμα την θρόμβωσή του.

Αρτηριοφλεβώδεις Δυσπλασίες

Η θεραπεία των αρτηριοφλεβωδών δυσπλασιών είναι αρκετά σύνθετη και εξαρτάται από το μέγεθος, την θέση τους και τα αγγειακά χαρακτηριστικά τους. Μπορούν να αντιμετωπιστούν με χειρουργική επέμβαση, εμβολισμό, ακτινοχειρουργική γ-knife ή οποιοδήποτε συνδυασμό των ανωτέρω. Σκοπός της θεραπείας είναι να αποκλειστεί η αρτηριοφλεβώδης δυσπλασία από την αγγειακή κυκλοφορία χωρίς να επηρεαστεί η λειτουργία του εγκεφάλου.

  


Aneurysm1

Ανεύρυσμα (περίγραμμα)