![]() |
Ως κήλη του αυχενικού μεσοσπονδύλιου δίσκου ορίζεται η προβολή του δίσκου προς τα νευρικά τρήματα ή/και τον σπονδυλικό σωλήνα. Έχει ως αποτέλεσμα, όταν η προβολή είναι κυρίως πλάγια, την πίεση στα νεύρα που νευρώνουν το ένα από τα 2 άνω άκρα, μια κατάσταση που ονομάζεται αυχενοβραχιόνιο σύνδρομο, και όταν η προβολή είναι και κεντρική, μπορεί να δημιουργηθεί στένωση όλου του σπονδυλικού σωλήνα και πίεση στον νωτιαίο μυελό με αποτέλεσμα την νόσο αυχενική μυελοπάθεια. Η θεραπεία εξαρτάται από την διάρκεια, το είδος και την ένταση των συμπτωμάτων. |
Επίπτωση και Αιτίες
Η κήλη του αυχενικού μεσοσπονδυλίου δίσκου προσβάλει ετησίως περίπου 4 στους 1000 ανθρώπους. Μέγιστη επίπτωση της νόσου παρατηρείται στα 50-55 χρόνια, αλλά από αυτή μπορεί να προσβληθούν όλοι οι ενήλικες, ακόμα και οι πολύ νέοι. Οι αιτίες δημιουργίας της είναι πολλές, και περιλαμβάνουν την εκφύλιση (φθορά) του δίσκου από το γήρας, χρόνιους επαναλαμβανόμενους μικροτραυματισμούς από π.χ. κακή εργονομία στην εργασία και σπανιότερα επίσημο τραυματισμό της αυχενικής μοίρας της σπονδυλικής στήλης. Οι αυχενικές δισκοκήλες είναι συχνότερες στα κατώτερα επίπεδα της αυχενικής μοίρας της σπονδυλικής στήλης και μπορεί να είναι πολλαπλές.
Συμπτώματα
Το αυχενοβραχιόνιο σύνδρομο, προκαλούμενο από μια πλάγια δισκοκήλη, προκαλεί πόνο, και ενδεχομένως υπαισθησία (μούδιασμα) και αδυναμία στο άνω άκρο που νευρώνεται από το νεύρο που πιέζεται. Η αυχενική μυελοπάθεια έχει αργά αναπτυσσόμενα συμπτώματα (μήνες-έτη), τα οποία μπορεί να επηρεάζουν έως και τα 4 άκρα, και είναι συνήθως διάχυτο άλγος και υπαισθησία σε αυτά, δυσχέρεια στην εκτέλεση λεπτών κινήσεων με τα χέρια και αστάθεια στη βάδιση.
|
Διάγνωση Απαραίτητες είναι: Η λεπτομερής λήψη ιστορικού και η κλινική εξέταση, Η μαγνητική τομογραφία της αυχενικής μοίρας της σπονδυλικής στήλης, Σε ορισμένες περιπτώσεις: Οι ακτινογραφίες της αυχενικής μοίρας της σπονδυλικής στήλης, και ενίοτε οι δυναμικές λήψεις σε κάμψη και έκταση, Ο νευροφυσιολογικός έλεγχος με ηλεκτρομυογράφημα και ταχύτητα αγωγής νεύρων άνω ή 4 άκρων, Τα σωματοαισθητικά προκλητά δυναμικά άνω ή 4 άκρων, Η αξονική τομογραφία της αυχενικής μοίρας της σπονδυλικής στήλης με τρισδιάστατη ανασύνθεση. Πρόγνωση Η πρόγνωση της κήλης αυχενικού μεσοσπονδύλιου δίσκου, όταν αυτή δημιουργεί αυχενοβραχιόνιο σύνδρομο, είναι γενικά καλή. |
Κήλη αυχενικού δίσκου, επίπεδο Α5-Α6, με στένωση του νευρικού τρήματος (πράσινο βέλος) και πίεση του εξερχόμενου νεύρου. Ελεύθερο τρήμα με κυανό βέλος. |
Περίπου 90% από τους ασθενείς θα βελτιωθούν σημαντικά εντός 6-12 εβδομάδων από την έναρξη των συμπτωμάτων, χωρίς καμία παρέμβαση πέραν από απλή συμπτωματική θεραπεία με κοινά παυσίπονα φάρμακα. Αυτό συμβαίνει λόγω υποστροφής του μεγέθους της κήλης ή του ελεύθερου τεμαχίου του πηκτοειδή πυρήνα το οποίο έχει διαφύγει από τον δίσκο, όταν αυτό υφίσταται (δες και ενότητα Κήλη Οσφυϊκού Μεσοσπονδύλιου Δίσκου για αναλυτική περιγραφή της παθολογίας των κηλών).
|
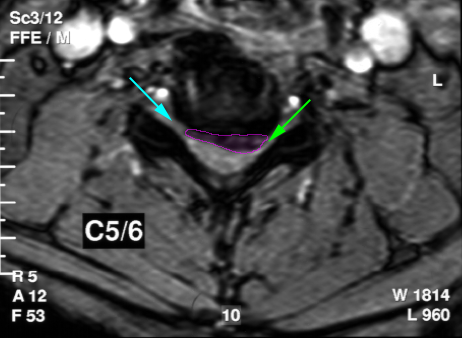
Ασθενής με αυχενοβραχιόνιο σύνδρομο, κήλη αυχενικού δίσκου με πίεση επί του νεύρου (πράσινο βέλος) |
Θεραπεία Υποψήφιοι για χειρουργική επέμβαση είναι οι ασθενείς με ισχυρό και εμμένοντα πόνο, ο οποίος δεν ανταποκρίνεται στη φαρμακευτική αγωγή και κυρίως αυτοί που αναπτύσσουν νευρολογικό έλλειμμα (υπαισθησία, αδυναμία), και ειδικά εμμένον ή επιδεινούμενο. Σκοποί της επέμβασης είναι να ανακουφιστεί ο ασθενής από τον πόνο και να αναταχθεί το νευρολογικό έλλειμμα προτού αυτό μονιμοποιηθεί, κάτι το οποίο συμβαίνει στους περισσότερους σε ορίζοντα μερικών εβδομάδων. Όταν η κήλη δημιουργεί στένωση του σπονδυλικού σωλήνα, και κυρίως όταν δημιουργεί αυχενική μυελοπάθεια, η πρόγνωση είναι σημαντικά χειρότερη. Οι ασθενείς με συμπτωματική στένωση του σπονδυλικού σωλήνα και αυχενική μυελοπάθεια βαίνουν κατά κανόνα επιδεινούμενοι στο χρόνο και εγκαθιστούν αναπόφευκτα κάποιο βαθμό νευρολογικού ελλείμματος, με τελικό αποτέλεσμα την αδυναμία και την υπαισθησία σε ένα, ή συνήθως σε περισσότερα άκρα. Η θεραπεία είναι κατά κανόνα χειρουργική, διότι μόνο με αυτό τον τρόπο μπορεί να αποφευχθεί η επιδείνωση της νευρικής λειτουργίας και κατ’ επέκταση της αδυναμίας και της υπαισθησίας των άκρων. Η ανάταξη ήδη εγκατεστημένου νευρολογικού ελλείμματος εξαρτάται από τον χρόνο που έχει παρέλθει από την έναρξη των συμπτωμάτων έως την χειρουργική παρέμβαση (οι ασθενείς με βραχύ ιστορικό έχουν καλύτερη πρόγνωση). |
|
Οι χειρουργικές επεμβάσεις που ενδείκνυνται στις ανωτέρω παθολογίες είναι: Στους ασθενείς με αυχενοβραχιόνιο σύνδρομο: η πρόσθια αυχενική δισκεκτομή με τοποθέτηση κλωβού και σε ορισμένες περιπτώσεις πλάκας με βίδες και η αυχενική αρθροπλαστική. Στους ασθενείς με στένωση του σπονδυλικού σωλήνα και αυχενική μυελοπάθεια: η πρόσθια αυχενική δισκεκτομή με τοποθέτηση κλωβού και σε ορισμένες περιπτώσεις πλάκας με βίδες, η αυχενική σωματεκτομή και η αυχενική πεταλεκτομή σε συνδυασμό, σε ορισμένες περιπτώσεις, με οπίσθια αυχενική σπονδυλοδεσία με βίδες και ράβδους. Η επιλογή της χειρουργικής μεθόδου εξαρτάται από την κλινική συμπτωματολογία και τα απεικονιστικά ευρήματα και προσαρμόζεται ανάλογα για κάθε ασθενή, έτσι ώστε να επιτευχθεί το μέγιστο θεραπευτικό αποτέλεσμα σε συνδυασμό με την μεγαλύτερη δυνατή διατήρηση της φυσιολογικής ανατομίας και λειτουργίας. Δες και ενότητες: Πρόσθια Αυχενική Μικροχειρουργική Δισκεκτομή, Πρόσθια Αυχενική Σπονδυλοδεσία και Αυχενική Αρθροπλαστική. |
|



Ασθενής με αυχενική μυελοπάθεια, λευκή περιοχή στο νωτιαίο μυελό (πράσινο βέλος)